Šokirao lekare u glavi imao vazdušni džep!

Lekarima u severnoj Irskoj javio se pacijent star 84 godine nakon serije padova, on je svojim medicinskim stanjem odnosno glavom, šokirao prisutne lekare u bolnici…
Vremešnog irca u bolnicu je poslao njegov lekar opšte prakse jer se u poslednjih nekoliko meseci osećao jako nestabilno na nogama, a tri dana unazad je osećao i slabost u levoj ruci i nozi.
Detalji, koji su objavljeni u medicinskom žurnalu BMJ Case Reports, otkrivaju da analize krvi nisu pokazale ništa neobično, a nije bilo ni znakova slabosti na licu, problema u govoru ili bilo kakve konfuzije.
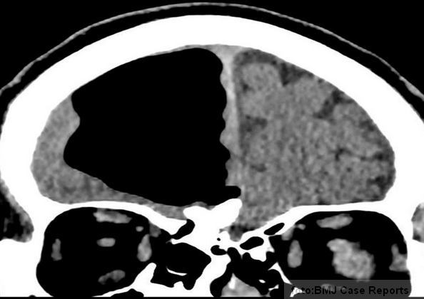
No, kada je muškarcu urađena kompjuterska tomografija i magnetna rezonanca mozga, medicinski tim je u čeonom režnju glave otkrio vazduhom ispunjenu šupljinu, prečnika čak devet centimetara!
Usput su otkrili i benigni tumor, tačnije koštanu izraslinu u nazalnom sinusu, koja je izgleda kriva za sve.

„Vremenom je polako rasla, i pritiskala bazu lobanje, izazivajući malu eroziju .Zbog toga što vazduh struji kroz vaše sinuse, ima mogućnost da se probije svuda, pa je ušao preko te erozije u lobanju.“ kaže koautor izveštaja, dr Finli Braun, član tima koji se bavio slučajem
Braun je dodatno objasnio da su ta erozija i tkivo iznad formirali neku vrstu jednosmernog ventila. „Vazduh može da uđe, ali ne može da izađe!“
Iako snimci deluju kao da ovom čoveku fali parče mozga, lekar ističe da to nije slučaj – verovatnije je da je vazduh sabio mozak.
„Kako se stvarao vazdušni pritisak, pošto se lobanja svakako neće pomeriti morao je mozak“, ističe Braun.
Pacijentu je ponuđena operacija ne bi li se otklonio pritisak na mozak, sanirala erozija i uklonila koštana izraslina. Međutim, kada su mu predstavljeni svi rizici, nije pristao.
„To je velika operacija za bilo koga u bilo kom dobu. Teoretski, mozak bi možda apsorbovao deo vazduha, ili bi telo moglo da ga apsorbuje, a isto tako bi moglo da bude još gore. Jednostavno ne znamo. Velike su šanse i za infekciju ili moždani udar. izjavio je dr. dr Finli Braun
„Već je imao manji moždani udar, najverovatnije zbog dugotrajnog pritiska, pa pretpostavljam da bi mogao da se ponovi.“
Zbog toga je 84-godišnji muškarac podvrgnut samo preventivnom tretmanu dok je „vazdušna rupa“ ipak ostala u glavi odnosno u mozgu.
Molimo online portale (sajtove), ako kopirate orginalni clanak s našeg sajta zanimljivosti dana NAVEDITE NAS KAO IZVOR i MALO IZMENITE NASLOV.Za objavljivanje originalnih članka sa sajta na Facebook(Meta),Instagram,YouTube kontaktirajte nas za odobrenje. Hvala!

PREDLAŽEMO VAM JOŠ:


