Misteriozna retka bolest od koje nestaju kosti !

Uprkos zadivljujućim naučnim medicinskim dostignućima koje je čovečanstvo napravilo još uvek postoje bolesti koje su za lekare misterija! Takva je i bolest nestajanja kostiju Gorham-Stout sindrom (GSD)….
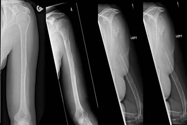
Sa ovim retkim (za lekare) misterioznim sindromom – bolesti su se nedavno susreli lekar u Edinburškoj bolnici u Škotskoj bolest se pojavila kod s jedne nemenovane 44-godišnje žene
Gorham-Stout(ov) sindrom je od kojeg je patila žena, bolest koja se javlja kada kosti same nestaju u telu. Ovo je redak fenomen u kojem ljudi progresivno i rapidno gube kosti.
Bolest-sindrom Gorham-Stout je ekstremno redak i totalno neuobičajenda je u medicinskoj literaturi bilo samo 64 zabeleženih slučajeva otkako je prvi put opisan davne 1838. godine.
Lekari ni dan danas ne znaju šta uzrokuje ovakvo stanje. Ova za lekare misteriozna bolest nije genetska, to znaju, ne uslovljavaju ni vanjski fakori Ono što se moglo primetiti kod osoba koje imaju ovu bolest je to da im se krvni i limfni sudovi abnormalno šire. Oni se šire i rastu agresivno. Onda kada se lome oni uspijevaju da se infiltriraju u kosti.
Kost zamenjuju beningni odnosno nekancerogeni tumori krvnih sudova. Agonija kod ove žene je trajala otprilike godinu i po, pojavila se tako da je prvo osećala jaku bol u rukama, odnosno da ima otok.
Lekari za sada ne znaju šta uzrokuje ovu bolest koja se može pojaviti kod pacijenata bilo koje starosne dobi ili pola.
Zbog svoje ekstremne retkosti, ne postoji standardizovan tretman za Gorham-Stout bolest. Lekari mogu odabrati hirurški pristup uklanjanjem pogođenih područja kostiju ili graftovanjem nove kosti kako bi se podstaklo da se kost popravi. Druge opcije lečenja uključuju zračenje ili kao lekove.
Na žalost Gorham-Stout bolest (sindrom) se ne može izlečiti (za sada) dok terapije mogu samo ublažiti bolove
Molimo online portale (sajtove), ako kopirate orginalni clanak s našeg sajta zanimljivosti dana NAVEDITE NAS KAO IZVOR i MALO IZMENITE NASLOV.Za objavljivanje originalnih članka sa sajta na Facebook(Meta),Instagram,YouTube kontaktirajte nas za odobrenje. Hvala!
PREDLAŽEMO VAM JOŠ:




