Skip to content
Zanimljivosti dana

  • Početna
  • Zanimljivosti
  • Jeste li znali da
  • Zanimljive činjenice
  • Misterije
  • Zašto…
  • Kako…
  • Šta…
  • Nauka
  • Video klipovi
  • Simbolika
Zanimljivosti dana

Muškarcu doktori pronašli i izvadili zub iz nosa!

autorZanimljivosti dana Hours 01.03.201915.09.2024
Ilustracija: nos lice

Jedan nemenovani danac star 59 godina, nakon gubitka čula mirisa posetio je doktora. Na njegovo zaprepaštenje doktori su mu u nosu pronašli i izvadili pravi zub.!…

Dve godine se danac žalio na smetnje u levoj strani nosa, a nakon lečenja i uzimanja lekova koji sadrže steroide, nije osetio nikakvo poboljšanje niti olakšanje.

Na kraju on je posetio univerzitetsku bolnicu u mestu Aarhus gde su mu nakon pregleda lekara otkrili masu pokrivenu sluzom na dnu nosne šupljine.

Doktori su hitno reagovali, jer su sumnjali da ima cistu. Operisan je i lekari su na kraju dokorri su ostali šokirani jer su mu izvadili pravi zubkoji je bio pokriven upaljenim tkivom nosa.

Nisu otkrili razloge zbog kojih se zub nalazio u nosu, ali su naveli da su ovakvi slučajevi medicinski ekstremno retki javljaju se u samo 0,1 do 1 posto populacije i uglavnom su zableženi kod muškaraca
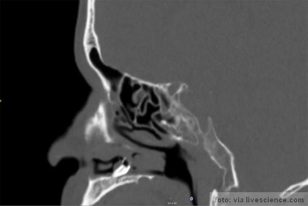
zub u nosu CT snimak FOTO:BMJ Case Reports
Pacijent je u mladosti doživeo traumu lica (slomljena mu je čeljust i nos), doktori su izjavili da ova ozljeda verojatno nije uzrok rasta zuba u nosu,jendostavno to je medicinski retki fenomen.!

Lekari su otkrili da do pojave rasta zuba u nosu može doći kod osoba koje imaju zečiju usnu.

59-godišnji pacijent se, nakon operacije kao i jednomesečnog lečenja, oseća dobro i da mu se čulo mirisa vratilo.

RAZNI RECEPTI

Molimo online portale (sajtove), ako kopirate orginalni clanak s našeg sajta zanimljivosti dana NAVEDITE NAS KAO IZVOR i MALO IZMENITE NASLOV.Za objavljivanje originalnih članka sa sajta na Facebook(Meta),Instagram,YouTube kontaktirajte nas za odobrenje. Hvala!



Mars podzmna jezera FOTO: ESA
Prethodno

Dokaz na Marsu postoji sistem ogromnih podzemnih jezera!

Sledece

Ukrali dobitni lutrijski tiket sad moraju da plate 4 miliona dolara kazne

lutrija KANADA

PREDLAŽEMO VAM JOŠ:

Betin trudnički stomak posle opreacije Zbog operacije lekari bebu su izvukli iz stomaka pa je posle vratili!
Vratili joj novčanik ukraden pre 75 godina!
MISTERIOZNE LICNOSTI MISTERIJE: Najmisterioznije ličnosti na svetu!

Izgubio milionski džekpot lutrijski tiket na naivan način!

Izgubio milionski džekpot lutrijski tiket na naivan način!

By Zanimljivosti dana  /  21.03.2026
Aurora luksuzni mobilni telefoni kada zlato, dijamanti i tehnologija postanu jedno!

Aurora luksuzni mobilni telefoni kada zlato, dijamanti i tehnologija postanu jedno!

By Zanimljivosti dana  /  20.03.2026
Malta nudi mladima 25.000 evra da se odreknu vozačke dozvole na 5 godina

Malta nudi mladima 25.000 evra da se odreknu vozačke dozvole na 5 godina

By Zanimljivosti dana  /  19.03.2026
Misteriozna struktura nalik PIRAMIDI NA MARSU ili ipak ne?

Misteriozna struktura nalik PIRAMIDI NA MARSU ili ipak ne?

By Zanimljivosti dana  /  18.03.2026
Misteriozna „sjajna kupa“ primećena na Marsu!

Misteriozna „sjajna kupa“ primećena na Marsu!

By Zanimljivosti dana  /  17.03.2026

Politika privatnosti i kolacici

Marketing

© 2011-2025 Zanimljivostidana.com
Sva prava zadržana

Kontakt

WordPress Theme by Kadence WP

Scroll to top
  • Početna
  • Zanimljivosti
  • Jeste li znali da
  • Zanimljive činjenice
  • Misterije
  • Zašto…
  • Kako…
  • Šta…
  • Nauka
  • Video klipovi
  • Simbolika
Search