NEVEROVATNO! Ruskinja živela 80 godina sa iglom u mozgu!

Jedna starija žena – ruskinja, na dalekom istoku Rusije živela je ceo život sa iglom dugom u mozgu, otkriveno je nakon što su lekari došli do neočekivanog otkrića tokom CT skeniranja….
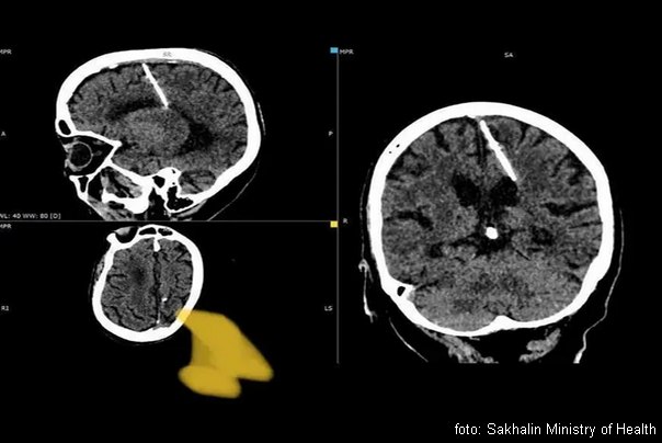
Lokalno zdravstveno odeljenje regiona Sahalin , veruje da je 80-godišnja žena bila žrtva neuspelog čedomorstva od strane njenih roditelja tokom Drugog svetskog rata. Lekari su takođe rekli su da neće pokušati da uklone iglu iz straha da će joj pogoršati stanje.
U saopštenju u sredu, lokalno zdravstveno odeljenje u udaljenom ruskom regionu Sahalin kaže:
„Takvi slučajevi tokom godina gladi nisu bili neuobičajeni.“ Njeni roditelji su verovatno odlučili da svoje dete ubiju tokom Drugog svetskog rata kao što je ona bila. živeći sa iglom dugom 3 cm „od rođenja“. Ovaj metod se često koristio da bi se sakrili dokazi o zločinu, navodi se u saopštenju.
Nestašica hrane je preovladavala širom Sovjetskog Saveza tokom rata, a mnogi ljudi su živeli u siromaštvu.

„Igla joj je ušla u levi parijetalni režanj, ali nije dala željeni efekat – devojčica je preživela“, dodaju u tamošnjem zdravstvu i dodaju da se pacijentkinja nikada nije žalila na glavobolje zbog povrede i da nije životno ugrožena izveštava gardijan
Trenutno sada lekari prate njeno stanje,navodi se u izveštaju lekara kao i ministarstva zdravlja regiona.
Izvor: Zanimljivostidana.com
Molimo online portale (sajtove), ako kopirate orginalni clanak s našeg sajta zanimljivosti dana NAVEDITE NAS KAO IZVOR i MALO IZMENITE NASLOV.Za objavljivanje originalnih članka sa sajta na Facebook(Meta),Instagram,YouTube kontaktirajte nas za odobrenje. Hvala!
PREDLAŽEMO VAM JOŠ:



