Pantljičara mu u mozak položila svoja jaja!

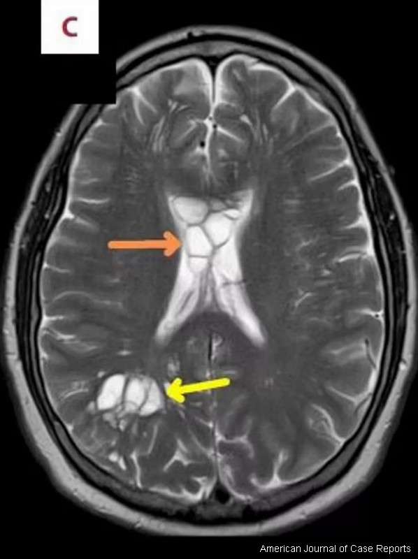
Jedan 52-godišnjak s Floride, kome je dosta stalnih jakih migrena odlučio je da ode kod lekara bio je užasnut saznanjem! Skeniranje je otkrilo da ima više cista na mozgu, kao i otok, …
a stručnjaci su potvrdili da ih je izazvala svinjska trakavica koja je položila jaja u njegov mozak.!
Neimenovani 52-godišnjak, postao je sve zabrinutiji nakon što su njegovi lekovi za hronične glavobolje prestali da deluju. Glavobolje su se češće javljale u prethodna četiri meseca.
Kao što smo gore i napisali svinjska trakavica koja je položila jaja u njegov mozak su izazivala iritaciju tkiva ispod njegove lobanje. Oni su se zarazili kao rezultat toga što je čovek jeo nedovoljno kuvanu slaninu, jer je rekao lekarima da voli „meku slaninu“.
Stanje, poznato kao „parazitska infekcija neurocisticerkoza“, nastaje kada se delovi tela upale kao rezultat svinjske trakavice. Lekari smatraju da je parazit ušao u njegovo telo nakon što je pojeo nedovoljno kuvanu hranu, a zatim je prešao iz creva u mozak kroz krvotok.

Slučaj je objavljen u American Journal of Case Reports. Lekari su napisali: „Doživotna preferencija našeg pacijenta za mekom slaninom možda je dovela do slučajeva konzumiranja nedovoljno kuvane slanine piše dailystar
Iako je to relativno retko u SAD i Velikoj Britaniji, ljudi se mogu zaraziti neurocisticerkozom na različite načine, uključujući i gutanje mikroskopskih jaja iz fekalija nekoga ko ima to stanje.
Simptomi i težina stanja zavise od toga koliko se cista nalazi u mozgu, ali konfuzija, nedostatak pažnje, problemi sa ravnotežom i previše tečnosti u mozgu su neki od ključnih znakova stanja.
Pacijenti koji počnu da primećuju promene u svojim migrenama treba da traže dalje testiranje kako bi se isključila stanja kao što je neurocisticerkoza.
Neimenovani muškarac u studiji slučaja odveden je na jedinicu intenzivne nege i dobio je lekove za smanjenje otoka u mozgu. Od tada, njegove ciste su nestale i njegove migrene nisu tako teške.
Izvor: Zanimljivostidana.com
Molimo online portale (sajtove), ako kopirate orginalni clanak s našeg sajta zanimljivosti dana NAVEDITE NAS KAO IZVOR i MALO IZMENITE NASLOV.Za objavljivanje originalnih članka sa sajta na Facebook(Meta),Instagram,YouTube kontaktirajte nas za odobrenje. Hvala!
PREDLAŽEMO VAM JOŠ:



