Skip to content
Zanimljivosti dana

  • Početna
  • Zanimljivosti
  • Jeste li znali da
  • Mozgalice
  • Zanimljive činjenice
  • Misterije
  • Zašto…
  • Kako…
  • Šta…
  • Nauka
  • Video klipovi
  • Simbolika
Zanimljivosti dana

ŠOKANTNO! Pirsing iz nosa završio joj u plućima!

autorZanimljivosti dana Hours 15.04.2026
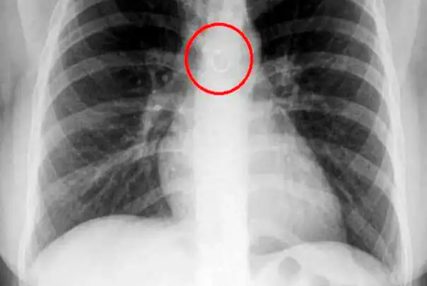
pirsing u nosu

Verovali ili ne ovoj devojci iz teksta je pirsing iz nosa završio u plućima! Monika Dejanira Kabrera Barahas je imala dosadan  …

kašalj oko mesec dana kada je odlučila da se obrati lekaru.

Očekivala je da će rendgenski snimak otkriti problem, ali ono što definitivno nije očekivala jeste pirsing na nosu koji je završio u njenim plućima!

U videu na TikToku koji je dobio milione pregleda, Dejanira je rekla da u početku nije ni primetila da joj nedostaje pirsing na nosu!

Kada je konačno primetila njegovo odsustvo, sigurno nije ni na trenutak pomislila da ga je greškom udahnula.

Jedina teorija koju imam, koju sam rekla pulmologu, jeste da sam zaspala, da je loptica ispala i to je to“, rekla je Dejanira za sajt creatorzine

„Ležala sam na leđima, nisam shvatila, i tako sam zabrljala.“

Dejanirin početni šok ubrzo se pretvorio u strah za njen život, jer su joj lekari rekli da je kružna metalna šipka samo 0,5 milimetara od njene aorte.

pirsing u plućima
pirsing u plućima Dejanire

Bila je zakazana za hitnu operaciju, ali ono što je trebalo da bude procedura od 20 minuta na kraju je trajalo skoro sat i po i završilo se neuspehom.

Na kraju je trajalo sat i 20 minuta, a i dalje nisu mogli da je uklone jer je bila pričvršćena za moje telo“, rekla je 26-godišnja žena

Dodajući da je morala da se podvrgne drugom, komplikovanijem postupku uklanjanja pirsinga na nosu.

Srećom po Kabreru Barahas, drugi postupak je bio uspešan, ali su joj lekari rekli da je izuzetno srećna što je živa.

Da joj je metalni pirsing probio pluća ili najveći krvni sud, verovatno bi umrla zbog kolapsa pluća ili perforirane aorte.

„Volim pirsinge i zaista mi se dopao moj pirsing septuma, ali u mom slučaju, ne bih ga ponovo napravila zbog užasa koji sam doživela“, rekla je Dejanira.

Što se tiče toga kako se njen pirsing odvojio od septuma i završio u plućima, mlada žena veruje da je jedan od metalnih čepova na jednom kraju otpao a prsten joj je jednostavno upao u grlo dok je spavala na leđima, i ona ga je udahnula.

Izvor:Zanimljivostidana.com

RAZNI RECEPTI

Molimo online portale (sajtove), ako kopirate orginalni clanak s našeg sajta zanimljivosti dana NAVEDITE NAS KAO IZVOR i MALO IZMENITE NASLOV.Za objavljivanje originalnih članka sa sajta na Facebook(Meta),Instagram,YouTube kontaktirajte nas za odobrenje. Hvala!



osmosmerka
Prethodno

Dnevna osmosmerka: Pronađi voće (14. april)

Sledece

Dnevna igra vešala: Gradovi Srbije (15. april)

IGRA VEŠALA

PREDLAŽEMO VAM JOŠ:

prugaste ribe strelci Toxotes jaculatrix Neobične ribe strelci „Toxotes jaculatrix“ koje „pucaju“ u plen ustima!
Lopov ukrao punu kesu s novcem pa je posle vratio
mramorni rak MERMERNI RAK ima sposobnost da se SAM KLONIRA!

Dnevna osmosmerka: Sportska osmosmerka

Dnevna osmosmerka: Sportska osmosmerka

By Zanimljivosti dana  /  20.04.2026
Kinez 20 godina živeo sa toplomerom u stomaku!

Kinez 20 godina živeo sa toplomerom u stomaku!

By Zanimljivosti dana  /  20.04.2026
Dnevna igra vešala: Luksuzni automobili (19. april)

Dnevna igra vešala: Luksuzni automobili (19. april)

By Zanimljivosti dana  /  19.04.2026
Dnevna osmosmerka: Povratak u osamdesete

Dnevna osmosmerka: Povratak u osamdesete

By Zanimljivosti dana  /  18.04.2026
Osam godina nosio metalni štapić u grlu!

Osam godina nosio metalni štapić u grlu!

By Zanimljivosti dana  /  18.04.2026

Politika privatnosti i kolacici

Marketing

© 2011-2025 Zanimljivostidana.com
Sva prava zadržana

Kontakt

WordPress Theme by Kadence WP

Scroll to top
  • Početna
  • Zanimljivosti
  • Jeste li znali da
  • Mozgalice
  • Zanimljive činjenice
  • Misterije
  • Zašto…
  • Kako…
  • Šta…
  • Nauka
  • Video klipovi
  • Simbolika
Search