Naučnici proteinom iz svinjske kože izlečili slepilo kod 20 ljudi!

Implanti napravljeni od proteina iz svinjske kože povratili su vid 20 ljudi sa obolelim rožnjačama u iznenađujućem kliničkom ispitivanju. Mnogi pacijenti su bili slepi pre nego što su dobili pomoć ovog bioinženjeringa tkiva….
Neverovatno, posle dve godine, svih 14 tih slepih ljudi je vraćeno vid i troje od njih, a troje od njih sada imaju savršen vid 20/20.!
„Ovo nas vodi oko problema nedostatka doniranog tkiva rožnjače i pristupa drugim tretmanima za očne bolesti“, kaže Nil Lagali, istraživač oftalmologije sa Univerziteta Linkoping.
Dok oko 12,7 miliona ljudi pati od gubitka vida zbog problema sa rožnjačom, samo 1 od 70 uspeva da dobije transplantaciju rožnjače – jedini način da povrati vid. Kako su sredstva za obezbeđivanje ovih transplantacija skupa, a donirane rožnjače su u nedostatku, većina ljudi u svetu nema pristup efikasnim tretmanima.
„Uložili smo značajne napore da osiguramo da naš pronalazak bude široko dostupan i pristupačan svima, a ne samo bogatima. Zato se ova tehnologija može koristiti u svim delovima sveta“, kaže biomedicinski inženjer sa Univerziteta Linkoping Mehrdad Rafat.
Da bi to postigli, Rafat i kolege su razvili novu tehniku koja ne zahteva šavove tako da lekari mogu da izvedu proceduru implantacije sa manje specijalizovanim uslovima i opremom.
„Manje invazivna metoda mogla bi da se koristi u više bolnica, čime bi se pomoglo većem broju ljudi. Sa našom metodom, hirurg ne mora da uklanja sopstveno tkivo pacijenta. Umesto toga, pravi se mali rez kroz koji se implantat ubacuje u postojeća rožnjača“, objašnjava Lagali.
Štaviše, materijal koji se koristi za izradu implantata je nusproizvod prehrambene industrije i, zahvaljujući posebno razvijenim procesima pakovanja i sterilizacije, konačni proizvod može da se čuva do dve godine. Nasuprot tome, donirane ljudske rožnjače moraju se koristiti u roku od dve nedelje.
Istraživači su prečistili kolagen iz svinjske kože kako bi stvorili novi sloj rožnjače. Koristili su hemijske i fotohemijske metode da ojačaju ovaj obično meki materijal, čineći ga stabilnijim, što je rezultiralo hidrogelom koji su nazvali bioinženjerskim svinjskim konstruktom, dvostruko umreženim (BPCDKS).

Rafinirajući svoje tehnike na životinjskim modelima, istraživači su zatim razvili jednostavnu metodu za umetanje BPCDKS-a u rožnjaču primaoca, eliminišući potrebu za uklanjanjem postojećeg tkiva. Ovde implant poravnava izvijanje rožnjače i obezbeđuje izgubljenu debljinu, popravljajući sposobnost oka da se fokusira.
Minimalno invazivna operacija ostavlja nerve rožnjače i slojeve ćelija netaknutim, omogućavajući rani da brzo zaceli.
Nakon implantacije kroz rez od 2 milimetra, BPCDKS je uspešno ostao providan. Nije bilo formiranja ožiljaka ili neželjene reakcije, niti je bila potrebna intenzivna terapija ili dalja operacija; samo osmonedeljni tretman sa imunosupresivnim kapima za oči i zavojem prenosi sciencealert
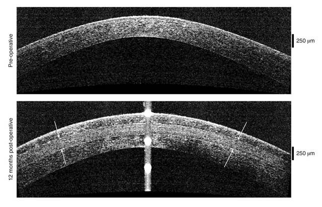
Posle dve godine, učesnici iz Irana i Indije doživeli su prosečno povećanje debljine rožnjače za više od 200 mikrometara i smanjenje njene zakrivljenosti, poboljšavajući vid barem u meri tradicionalnih transplantacija rožnjače.
„Rezultati pokazuju da je moguće razviti biomaterijal koji ispunjava sve kriterijume za upotrebu kao ljudski implantati, koji se može masovno proizvoditi i čuvati do dve godine i na taj način dopreti do još većeg broja ljudi sa problemima sa vidom“, zaključuje Lagali.
Ovo istraživanje je objavljeno u Nature Biotechnology.
Izvor:Zanimljivostidana.com
Molimo online portale (sajtove), ako kopirate orginalni clanak s našeg sajta zanimljivosti dana NAVEDITE NAS KAO IZVOR i MALO IZMENITE NASLOV.Za objavljivanje originalnih članka sa sajta na Facebook(Meta),Instagram,YouTube kontaktirajte nas za odobrenje. Hvala!
PREDLAŽEMO VAM JOŠ:



